Skip to content Skip to sidebar Skip to footer

Small Left Colon Syndrome

Neonatal Small Left Colon Syndrome In The Offspring Of Diabetic Mothers An Analysis Of 105 Children Journal Of Pediatric Surgery

Neonatal Small Left Colon Syndrome In The Offspring Of Diabetic Mothers An Analysis Of 105 Children Journal Of Pediatric Surgery

Small left colon syndrome. In this situation it is also termed the small left colon syndrome. Small left colon syndrome refers to a dysfunctional diminutive left colon that causes transient obstructive symptoms. It is generally regarded as a functional immaturity of the colon resulting in failure to pass the first stool.

MATERIAL AND METHOD Nineteen infants presented inthe first to third days oflife each ofwhom had essen-tially the same clinical history suggesting low colonic obstruction. NSLCS has a favourable prognosis but needs close follow-up in view of late complications. Early suspicion of this diagnosis averts unnecessary invasive interventions and surgery.

Occurrence in asymptomatic infants of diabetic mothers. Its etiology remains unknown but a significant association has been noted between maternal diabetes and small left colon. The diagnosis and treatment are assured by a simple contrast enema.

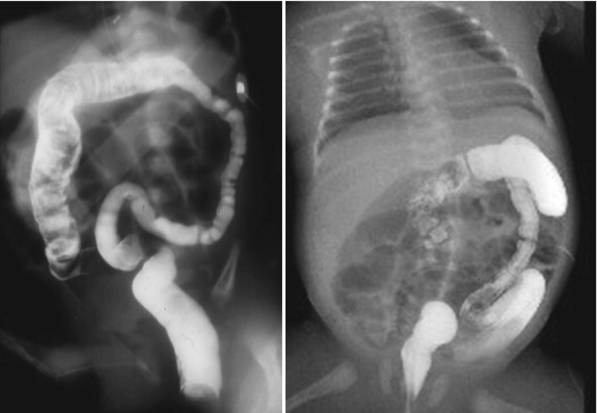
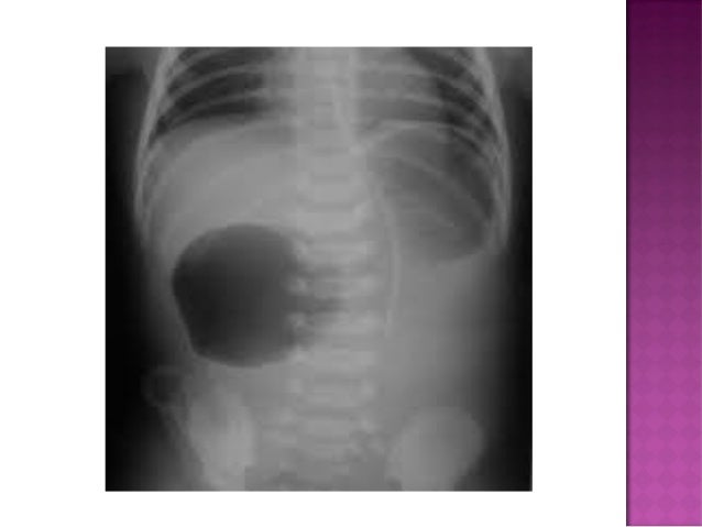
Small left colon sydrome is subset of meconium plug syndrome in which an enema demonstrates an apparent transition zone between the dilated and the normal-to. Plain abdominal radiographs show dilated intestinal loops. Affected patients have abdominal distention difficulty in initiating evacuation and sometimes vomiting.

An unusually high incidence 40 of maternal diabetes was observed in a series of 20 newborn infants who had low colonic obstruction and barium enema findings of a uniformly narrowed colon from the splenic flexure to the anus. Hyperglucagonemiawhich may result from hypoglycemiaor sepsis also leads to decreasedperistalsis in the left colonDecreased motility results in increasedabsorption of water from thecolon which eventuates in the formationof abnormal meconiumInfants with small left colon syndromepresent with progressive abdominaldistention vomiting and failureto pass meconium. Davis WS Campbell JB.

Meconium plug syndrome refers to a functional colonic obstruction in a newborn due to an obstructing meconium plug. Infants with small left colon syndrome present with progressive abdominal distention vomiting and failure to pass meconium. It is usually transient and affects the left colon with meconium plugging the bowel distal to this segment.

Neonatal small left colon syndrome is rare but an important differential in this situation and radiological findings are diagnostic. No reported cases within the same family could be found in the literature excepting 2 sets of twins.

Neonatal Small Left Colon Syndrome Springerlink

Neonatal Small Left Colon Syndrome Springerlink

Small Left Colon Syndrome Radiology Case Radiopaedia Org

Small Left Colon Syndrome Radiology Case Radiopaedia Org

Small Left Colon Syndrome Springerlink

Small Left Colon Syndrome Springerlink

Small Left Colon Syndrome Wikidoc

Small Left Colon Syndrome Wikidoc

Neonatal Small Left Colon Syndrome Nslcs Rare But Important Complication In An Infant Of Diabetic Mother Bmj Case Reports

Neonatal Small Left Colon Syndrome Nslcs Rare But Important Complication In An Infant Of Diabetic Mother Bmj Case Reports

Small Left Colon Syndrome Radiology Case Radiopaedia Org

Small Left Colon Syndrome Radiology Case Radiopaedia Org

Small Left Colon Syndrome Radiology Case Radiopaedia Org

Small Left Colon Syndrome Radiology Case Radiopaedia Org

Neonatal Small Left Colon Syndrome Bmj Case Reports

Neonatal Small Left Colon Syndrome Bmj Case Reports

Small Left Colon Syndrome Wikidoc

Small Left Colon Syndrome Wikidoc

Small Left Colon Syndrome Springerlink

Small Left Colon Syndrome Springerlink

Neonatal Small Left Colon Syndrome Youtube

Neonatal Small Left Colon Syndrome Youtube

Small Left Colon Syndrome Wikidoc

Small Left Colon Syndrome Wikidoc

Small Left Colon Syndrome With Imperforate Anus A Rare Coincidence Sciencedirect

Small Left Colon Syndrome With Imperforate Anus A Rare Coincidence Sciencedirect

Neonatal Small Left Colon Syndrome

Neonatal Small Left Colon Syndrome

2

2

Small Left Colon Syndrome Frontal Fluoroscopic Image Showing A Splenic Download Scientific Diagram

Small Left Colon Syndrome Frontal Fluoroscopic Image Showing A Splenic Download Scientific Diagram

Neonatal Small Left Colon Radipedia

Neonatal Small Left Colon Radipedia

Small Left Colon Syndrome In A Newborn With Cystic Fibrosis Semantic Scholar

Small Left Colon Syndrome In A Newborn With Cystic Fibrosis Semantic Scholar

Fig 15 7 Functional Immaturity Of The Colon Diseases Of The Abdomen And Pelvis 2018 2021 Ncbi Bookshelf

Fig 15 7 Functional Immaturity Of The Colon Diseases Of The Abdomen And Pelvis 2018 2021 Ncbi Bookshelf

Failure To Pass Meconium Diagnosing Neonatal Intestinal Obstruction American Family Physician

Failure To Pass Meconium Diagnosing Neonatal Intestinal Obstruction American Family Physician

Neonatal Small Left Colon Syndrome Springerlink

Neonatal Small Left Colon Syndrome Springerlink

Small Left Colon Meconium Plug Syndrome Youtube

Small Left Colon Meconium Plug Syndrome Youtube

Neonatal Small Left Colon Radipedia

Neonatal Small Left Colon Radipedia

Https Encrypted Tbn0 Gstatic Com Images Q Tbn And9gcrg0sz7b3ym5afwz9xmajhepp4rjw3z5kluheu2hrubkqymqrxa Usqp Cau

Https Encrypted Tbn0 Gstatic Com Images Q Tbn And9gcrg0sz7b3ym5afwz9xmajhepp4rjw3z5kluheu2hrubkqymqrxa Usqp Cau

Epos Trade

Epos Trade

2

2

Neonatal Small Left Colon Syndrome Workup Laboratory Studies Plain Radiography Contrast Enema

Neonatal Small Left Colon Syndrome Workup Laboratory Studies Plain Radiography Contrast Enema

Small Left Colon Syndrome In A Newborn With Cystic Fibrosis Semantic Scholar

Small Left Colon Syndrome In A Newborn With Cystic Fibrosis Semantic Scholar

Pediatric Surgery Zone 2011

Pediatric Surgery Zone 2011

2

2

Gastrointestinal Imaging Radiology Key

Gastrointestinal Imaging Radiology Key

2

2

Pdf Neonatal Small Left Colon Syndrome A Case Report

Pdf Neonatal Small Left Colon Syndrome A Case Report

Neonatal Intestinal Obstruction

Neonatal Intestinal Obstruction

Meconium Plug Syndrome Radiology Reference Article Radiopaedia Org

Meconium Plug Syndrome Radiology Reference Article Radiopaedia Org

Failure To Pass Meconium Diagnosing Neonatal Intestinal Obstruction American Family Physician

Failure To Pass Meconium Diagnosing Neonatal Intestinal Obstruction American Family Physician

Infant Of A Diabetic Mother

Infant Of A Diabetic Mother

Infant Of A Diabetic Mother Dr Mirzarahimi Introduction

Infant Of A Diabetic Mother Dr Mirzarahimi Introduction

Intestinal Obstruction Presented By Amani Aziz Alrahman Ppt Video Online Download

Intestinal Obstruction Presented By Amani Aziz Alrahman Ppt Video Online Download

Neonatal Small Left Colon Radipedia

Neonatal Small Left Colon Radipedia

2

2

Small Left Colon Syndrome Wikidoc

Small Left Colon Syndrome Wikidoc

Esophagus And Gastrointestinal Tract Radiology Key

Esophagus And Gastrointestinal Tract Radiology Key

Neonatal Small Left Colon Syndrome In Twins Semantic Scholar

Neonatal Small Left Colon Syndrome In Twins Semantic Scholar

Clinical Use Of Growth Hormone And Glutamine In Short Bowel Syndrome

Clinical Use Of Growth Hormone And Glutamine In Short Bowel Syndrome

2

2

Meconium Ileus Case Presentation

Meconium Ileus Case Presentation

Small Left Colon Syndrome With Imperforate Anus A Rare Coincidence Sciencedirect

Small Left Colon Syndrome With Imperforate Anus A Rare Coincidence Sciencedirect

1

1

Small left colon sydrome is subset of meconium plug syndrome in which an enema demonstrates an apparent transition zone between the dilated and the normal-to.

Infants with small left colon syndrome present with progressive abdominal distention vomiting and failure to pass meconium. Meconium plug syndrome usually occurs in infants who are otherwise healthy. Neonatal small left colon syndrome is a rare cause of bowel obstruction. Neonatal small left colon syndrome NSLCS should be considered as differential for neonatal intestinal obstruction especially with a background of maternal diabetes mellitus. Neonatal small left colon syndrome is rare but an important differential in this situation and radiological findings are diagnostic. Small left colon syndrome refers to a dysfunctional diminutive left colon that causes transient obstructive symptoms. Occurrence in asymptomatic infants of diabetic mothers. It is usually transient and affects the left colon with meconium plugging the bowel distal to this segment. Meconium plug syndrome refers to a functional colonic obstruction in a newborn due to an obstructing meconium plug.


Neonatal small left colon syndrome is rare but an important differential in this situation and radiological findings are diagnostic. Neonatal small left colon syndrome is rare but an important differential in this situation and radiological findings are diagnostic. Its etiology remains unknown but a significant association has been noted between maternal diabetes and small left colon. Meconium plug syndrome small left colon syndrome long segment Hirschsprung disease The rectosigmoid ratio was greater than 1 favoring meconium plug syndrome. Infants with small left colon syndrome present with progressive abdominal distention vomiting and failure to pass meconium. MATERIAL AND METHOD Nineteen infants presented inthe first to third days oflife each ofwhom had essen-tially the same clinical history suggesting low colonic obstruction. Plain abdominal radiographs show dilated intestinal loops.

Post a Comment for "Small Left Colon Syndrome"